Radiologie
In unserer Radiologischen Abteilung bieten wir moderne Bildgebung mit Schwerpunkt auf der Lungen- und Thoraxdiagnostik. Dazu gehören die Computertomographie (CT), die High-Resolution-Computertomographie (HRCT), das Röntgen sowie der Ultraschall. Die Untersuchungen erfolgen im Rahmen der Behandlung in der Lungenklinik Lostau. Zusätzlich unterstützen wir Zuweiser bei klar definierten Fragestellungen, zum Beispiel durch strukturierte Zweitbefundungen.
Was uns auszeichnet
- Schwerpunkt Lungen- und Thoraxbildgebung mit hoher Expertise in Computertomographie (CT) und High-Resolution-Computertomographie (HRCT).
- Strukturierte Einordnung komplexer Befunde, zum Beispiel bei interstitiellen Lungenerkrankungen (ILD), chronisch obstruktiver Lungenerkrankung (COPD)/Emphysem und Lungenkrebs.
- Interdisziplinäre Abstimmung im Haus bei komplexen Konstellationen.
- Spezialthemen: EVA Lunge sowie berufsbedingte Lungenerkrankungen inklusive beratungsärztlicher Stellungnahmen und fachradiologischer Gutachten.
- In geeigneten Fällen quantitative Auswertungen (zum Beispiel Emphysem-Quantifizierung) als Ergänzung zur fachärztlichen Befundung.
Unsere Untersuchungen
Die Computertomographie (CT) liefert detaillierte Querschnittsbilder und ist zentral für die Abklärung vieler Erkrankungen der Lunge und des Brustkorbs – zum Beispiel bei unklarer Luftnot, Tumorverdacht, entzündlichen Veränderungen oder zur Verlaufskontrolle. Je nach klinischer Fragestellung kann die CT auch angrenzende Regionen einbeziehen (zum Beispiel Oberbauch bei Staging-Fragestellungen).
Die High-Resolution-Computertomographie (HRCT) ist eine spezielle CT-Technik mit sehr hoher Detailauflösung. Sie ist besonders wichtig für die Diagnostik und Verlaufskontrolle interstitieller Lungenerkrankungen (ILD), da feine Muster im Lungengewebe differenziert beurteilbar werden.
Das Röntgen ist eine schnelle Basisdiagnostik, zum Beispiel bei Infektionen, Pleuraerguss oder Kontrollaufnahmen.
Der Ultraschall (Sonografie) kann die klinische Diagnostik sinnvoll ergänzen – unter anderem zur Untersuchung von Organen und zur Beurteilung von Flüssigkeitsansammlungen.
- Ultraschalluntersuchung Abdomen bzw. Oberbauch, inkl. Doppler-/Duplexsonographie
- Anwendung von Ultraschallkontrastmittel bei speziellen Fragestellungen
- Schilddrüsensonographie
- Weichteilsonographie
- spezielle Thoraxsonographie
Unsere Schwerpunkte in der Lungenbildgebung
Interstitielle Lungenerkrankungen (ILD) – HRCT und Einordnung im Team
Interstitielle Lungenerkrankungen (ILD) sind Erkrankungen, bei denen sich das Lungengewebe durch Entzündung oder Vernarbung verändert. Die High-Resolution-Computertomographie (HRCT) ist dabei ein zentrales Werkzeug, weil typische Muster in der Bildgebung wichtige Hinweise auf Ursache und Stadium geben.
Typische Fragestellungen:
- Erstdiagnostik bei Verdacht auf ILD (zum Beispiel unklare Belastungsdyspnoe, auffällige Lungenfunktion).
- Differenzierung verschiedener ILD-Formen anhand bildmorphologischer Muster.
- Verlaufskontrolle und Beurteilung der Therapieeffekte.
Bei komplexen Befunden erfolgt die Einordnung in enger Zusammenarbeit mit den behandelnden Fachbereichen; bei Bedarf werden Fälle interdisziplinär besprochen.
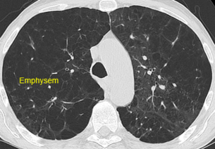
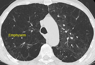
Chronisch obstruktive Lungenerkrankung (COPD) und Emphysem – CT-basierte Beurteilung
Bei der chronisch obstruktiven Lungenerkrankung (COPD) und beim Emphysem kann die Computertomographie (CT) helfen, Ausprägung und Verteilung der Veränderungen zu beurteilen. In geeigneten Fällen unterstützen quantitative Auswertungen die Therapieplanung und Verlaufskontrolle.
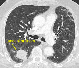
Lungenkrebs – Diagnostik, Verlauf und interdisziplinäre Abstimmung
Die Computertomographie (CT) ist die zentrale Untersuchung bei Verdacht auf Lungenkrebs, zur Stadieneinteilung und Verlaufsbeurteilung sowie für die Therapieplanung. Bei auffälligen Befunden wird das weitere Vorgehen interdisziplinär abgestimmt. Weitere Informationen finden sie außerdem auf den Seiten unseres Lungenkrebszentrums.
EVA Lunge – erweiterte arbeitsmedizinische Vorsorge und Abklärung der Lunge
EVA Lunge (erweiterte arbeitsmedizinische Vorsorge zur Früherkennung von Lungenkrebs) ist ein strukturiertes Verfahren, bei dem die Bildgebung – je nach Fragestellung – als Bestandteil des vorgesehenen Vorsorge- und Abklärungsprozesses eingesetzt wird. Die Veranlassung und die erforderlichen Unterlagen erfolgen über die zuständige zuweisende Stelle (zum Beispiel Arbeitsmedizin).
Kurz-FAQ zur EVA Lunge:
- Für wen? Für Personen mit relevanten beruflichen Expositionen bzw. im Rahmen des vorgesehenen Vorsorge- oder Abklärungswegs.
- Wie wird zugewiesen? Über die zuständige zuweisende Stelle; Fragestellung und Unterlagen werden dort gebündelt.
- Was liefern wir? Strukturierte Bildgebung und Befundübermittlung an die zuweisende Stelle gemäß Verfahren.
Berufsbedingte Lungenerkrankungen – fachradiologische Begutachtung
Bei berufsbedingten Lungenerkrankungen unterstützen wir die Diagnostik und Einordnung im Rahmen der klinischen Fragestellung. Dazu gehören – je nach Auftrag – beratungsärztliche Stellungnahmen sowie fachradiologische Gutachten.
Typische Themen:
- Asbestassoziierte Veränderungen.
- Silikose und andere staubassoziierte Veränderungen.
Zweitbefundung – auch im Kontext des Lungenkrebsscreenings
Bei komplexen oder unklaren Befunden unterstützen wir Zuweiser durch eine strukturierte Zweitbefundung. Dies gilt auch für kontrollbedürftige oder auffällige Befunde aus dem Lungenkrebsscreening mittels Niedrigdosis-Computertomographie (Low-Dose CT, LDCT; auch Niedrigdosis-CT, NDCT) im Rahmen bestehender Kooperationen.
Mehr Informationen: Lungenkrebsscreening und Zweitbefundung.
Beispielhafte Aufnahmen verschiedener Erkrankungen




(Lungenklinik Lostau)


Häufige Fragen (FAQ)
Wie lange dauert eine Computertomographie (CT)?
Die Untersuchung dauert in der Regel nur wenige Minuten; die Aufnahme selbst erfolgt in Sekunden.
Brauche ich eine Überweisung?
Das hängt davon ab, in welchem Behandlungskontext die Untersuchung erfolgt:
- Im Rahmen eines stationären Aufenthalts wird die Bildgebung über die behandelnden Fachbereiche veranlasst.
- Bei Untersuchungen nach Zuweisung benötigen wir eine klare Fragestellung und die erforderlichen Unterlagen.
- Für EVA Lunge werden Unterlagen und Fragestellung über die zuweisende Stelle bereitgestellt.
- Privatpatientinnen und Privatpatienten: Terminvereinbarung nach Abstimmung; Unterlagen je nach Fragestellung.
Leitung

Dr. med. Kathrin Ludwig
Fachärztin für Diagnostische Radiologie
- Telefon
- 039222 8 1261
Sekretariat

Sabine Schwarz
- Telefon
- 039222 8-1261
Für Zuweiser
Für definierte Fragestellungen (zum Beispiel Zweitbefundung oder Verfahren wie EVA Lunge) benötigen wir eine klare klinische Fragestellung sowie relevante Vorbefunde. Bilddaten können über den vereinbarten Übermittlungsweg bereitgestellt werden.
Erforderlich (kurz):
- Konkrete Fragestellung (Indikation).
- Relevante Anamnese und Vorbefunde.
- Bilddaten (nach vereinbartem Übermittlungsweg).
Die Möglichkeit Bilddaten verschlüsselt zu übermitteln finden Sie auf der Seite für Zuweisende Ärzte.